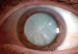
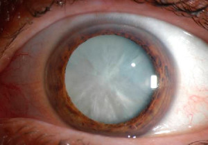
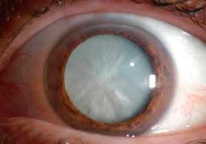
백내장이란? 눈에 들어온 빛은 홍채 뒤에 있는 투명한 조직인 수정체를 통과하면서 굴절되주어서 망막에 상을 맺게 돼요. 백내장은 이 수정체가 혼탁해져서 빛을 정상적으로 통과시키지 못하여서 눈앞에 안개가 낀 것과 같이 뿌옇게 보이는 안구 질병이라고 하죠.
백내장은 젊다고 방심할 수 있는 질병이 아닌데 후천적 요인으로 노안, 자외선노출, 안구 외상, 당뇨병 그렇지 아니하면 약물 과다복용으로 일어날 수 있죠. 최근는 젊은 사람에게도 많으면 노출되어고 있는 질병이기도 하죠.






또한 노안일 경우에는 안구 수정체 탄력성이 떨어지면서 출현하는 질병으로, 노화에 의해서 자연스럽게 표시되어는 현상으로 안경이나 돋보기를 착용하다 보면 교정이 가능하지만 백내장 역시 수정체 끝으로 노출되어는 질병이지만 전부 다 시야가 뿌옇게 보이거나 물체가 이중, 삼중으로 보이는 복시 현상이 노출되어 구별이 필요 한하죠.
백내장의 원인
선천성, 외상, 대사성 질환( 당뇨병 )
나이가 많아짐에 따라 (노인성 변화로 오는 것이 가장 수하죠.)
각별히 안구 자체의 또 다른 질병( 포도막염, 녹내장, 망막변성 )이 있을 경우,
오래오래 전 눈 속 수술을 받았던 경우
약물( 스테로이드 ),
긴 시간에 걸친 자외선 노출이 원인이 될 수도 있죠.
이밖에도 원인은 여러 종류지만 특징적으로 뽑을 수 있는 원인이라고 할 수 있죠.
백내장 증상 눈동자에 색전환 백내장은 눈에 거량 변화를 일으키는데 최고 명료하게 보이는 것이 바로 변색인데요. 과도한 규모가 덜한 경우에는 노란색의 음영이 생각됩니다. 또한 제일 크기가 심할 때는 갈색으로 생각됩니다. 갈색으로 눈 색이 변색됐을 경우는 이미 백내장이 더 진행되었다는 신호인데요. 이 처지에서 조처를 취하지 않아도 내버려 두면 시간이 지나면서 그 색이 더 어두워지고 시력 저하를 체험하게 돼요.
백내장 증상 시력감퇴 백내장 증상 중 백내장 증상이 일으키게 보면 혼탁해진 수침체로 말미암아 시야가 혼탁하게 되고 왜곡되주어서 보일 수 있다는데 이런 증상은 혼탁의 위치 정도 범위에 따라 차별있게 보일 수 있죠. 그리고 백내장 증상에 의한 시력감퇴는 매우 나아가고 있다며 빛의 밝고 어두움 그리고 빛과 그림자 등이 생겨나게 된다 하였습니다.
눈 피로 백내장으로 기하기 때문에 사물이 겹쳐 보이거나 나뉘어 보일 때도 눈 근육이 초점을 잡기 위한 운동을 해서 눈이 계속 피로하고 무겁다고 알려져 있죠.
따라서 백내장으로 기인해 수청체가 혼탁하다가 보면서 초점이 맞지 않도록해서 에 주변 근육이 초점을 맞추기 위해서 연속적으로 눈이 이동을 하므로 쉽게 피로감을 체감할 수 있어요
흐린 시야 멀리서도 시야가 아득해지는 것은 제일 대표적 백내장 증상인데요 시간이 흘러감에 따라 백내장이 너무하면
망막에 다다르는 빛이 떨어지게 돼요. 백내장이 있는 사람들은 또한 밤에 운전하는데 괴로움을 느낄 수 있죠.
복시 백내장 증상이라고 하게되면 복시도 빠뜨릴 수 없는 증상 중 한 가지인데요. 복시란 하나의 물체가 둘로 보이는 것을 말하며 이런 증상이 나타났을 때 백내장이 나쁘게될 경우 도리어 복시 증상이 완화될 수 있기에 에 백내장임을 파악하는 것이 많이 어려울 수 있죠.
주맹현상 주맹현상이 지속적으로 이어지게 되면 괴로움증과 메스꺼움 증상까지 일어날수 있고 병원에 가서 의사와 명확한 상담을 하시는게 좋다고 생각하죠. 밤에는 잘 내보이면서 낮에는 시야가 엄청 흐려져 제대로 사물을 보기 과중한 현상이 돋아나는데 그러한 현상을 주맹현상이라고 알려져 있죠.






빛 감도 증가 시야가 모르는 사이에 조금씩 흐려지면서 안구 신경에 문제가 생길 경우 환한 빛에 대한 불편함이 늘어나고 빛을 버티는 재능이 점차 떨어질 수 있는 만큼 백내장 증상 하면 빛 감도 증가 현상 보통과 다르게 빠질 수 없는데요. 환한 빛으로 기인해 눈을 뜨기 어려우거나 빛에 민감해서져 두통이 나타날게 되었다면 전문의와 상담을 받아보는 게 바람직해요.
야간 시력 상실 백내장 환자의 경우 야간 시력이 점점 유실되어어서 어두운 곳에 있을 때 잘 보이지 않는 고충을 느낄 수 있는 만큼 백내장 효과 하게되면 야간 시력 상실 특히나 빼놓을 수 없어요. 빛이 너끈한 낮에는 큰 변화를 알아채기 어려우나 밤에 거리감을 확고하게 알 수 없어 운전을 하기 어렵거나 일상생활에 지장이 생기다면 정밀검사를 받아보는 게 좋다고 하죠.
백내장 수술가액 정리해 보았습니다
백내장 수술가액은 단초점의은 건강보험이 적용해서 단안 기준 약 30만 원 내외면 수술이 가능하며 다초점 백내장 수술가액은 단안기준 약 4백만 원~6백만 원, 양안 기준 약 9백~12백만 원으로,
병원 과 진료받으시는 각각의 정황에 따라 변동될 수 있죠.
하지만 다초점 백재장 수술이라 하더라도 실손보험이 가입되어주므로 있으며면 보상을 받을 수 있다고 보험사에 문의 후 진행하시면 좋을 것동일합니다.






백내장 방지 습관
• 백내장 나빠시킨다고 하는 흡연, 음주 막아주기
• 외출 시 자외선 차단 기능이 있는 선글라스 쓰고 외출하기• 항산화 성분이 대량으로 포함된 눈영양제복용과 채소와 야채 먹도록 하기• 잠들기 전, 어두운 곳에서 스마트폰 이용 막아주기 • 최소 1년에 한 번 일정기간인 안과 검진을 하죠.
간단하게 설명드리는 백내장 증상은 눈이 침침해지고 시야가 뿌옇게 보이기 착수하는데 젊은 분들에게 이런 현상이 일어난다면 병원에 가는 것이 괜찮은데요 나이가 있으신 분의 노안일 경우에는 노안은 가까이 있는 것은 보기 힘든데 멀리 있는 것은 오히려 잘 볼 수 있다고 합니다
백내장 경우는 거리에 무관하게 모든 피사체가 흐리게 보이는 경우가 많아 간략하게 구분할 수 있다고 합니다.






현대에는 연령과 문제될 것 없이 많은 종류의 전자기기로 인해 안구질병이 늘고 있기에 안구에 이상이 생각해낸다면 기필코 내원해서 치료를 하실 것을 추천해드립니다.